Pluća

Pluća

Pluća 15

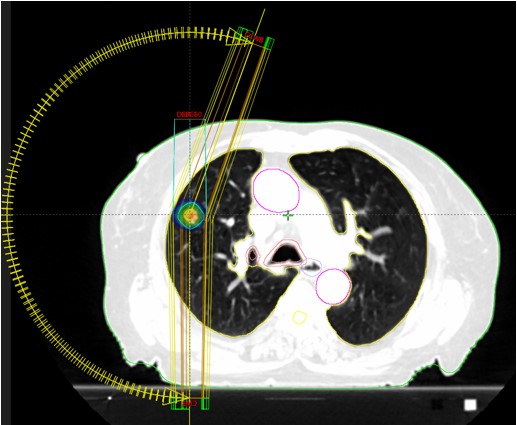
Bolesnica, rođena 1942.

Dijagnoza:
Npl pulmonis lateris dextri (2020)
SABR npl pulmonis lat dex (11/2020)
Meta pulmonis

SABR meta pulmonis (7/2023)

 

pluća 15

 

pluća 15 2

 

pluća 15 3

 

pluća 15 4

 

Rezultat – 33 mjeseca nakon RK

Potpuni nestanak tretirane lezije