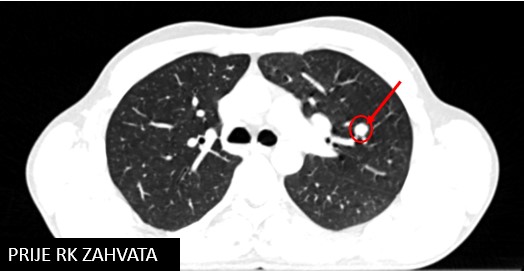
Pluća

Pluća

Pluća

Bolesnik, rođen 1989.


Dijagnoza:
Schwannoma malignum manus sin

Amputatio digiti IV. et osiss meta carpi IV. (2008.)
Chemotherapia cum adriamycin (2009.)
Radiotherapia reg. manus sin (11./2008.)
Op. ppt tm recidivans (2013.)
Metastasectomia lobi inf pulm dex (2013.)
Chemotherapia cum docetaxel et gemcitabin (6 cy)
SBRT meta pulmonis (11/2018; 7/2019)

 

plća 61

 

pluća 61 2

 

pluća 61 3

 

pluća 61 4

 

Rezultat – 51 mjesec nakon RK

Potpuni nestanak tretirane lezije