Pluća

Pluća

Pluća 31

Bolesnik, rođen 1954.

Dijagnoza:
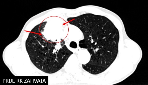
Ca planocellulare bronchi lobi superioris pulmonis lateris dextri cum lymphadenopathia mediastinalis (PD-L1 2%) (2019.)
C
hemotherapia cum gemcitabin/cisplatina (4 cy, 5.7. - 12.9.2019.)
SBRT tm prim. et meta mediastini (12./2019.)
SABR meta pulmonis (12.12.2022.)
Immunotherapia cum nivolumab

Npl recti
Radiotherapia neoadj “short course" (TD 25Gy/5x, 31.5. — 6.6.2022.)
Op. ppt ulci ventriculi, GERB

 

pluća 31

 

pluća 31 2

 

pluća 32 3

 

pluća 31 3

 

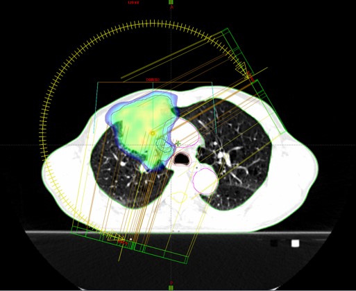
Rezultat – 36 mjeseci nakon RK

smanjenje tumora pluća za 85.9 %