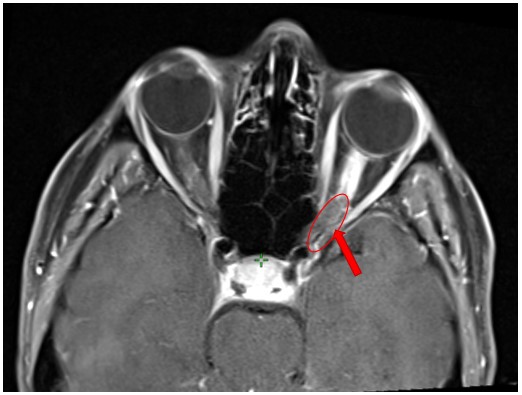
Mozak 22.12.2023. Bolesnica, rođena 1976. Meningeoma n. optici l. sin. fSRT (25 Gy/5x, 4/2021) Rezultat – 12 mjeseci nakon RK Kliničko poboljšanje vida ubrzo po provedenom zahvatu Smanjenje lezije uz dekompresiju živca