Limfni čvor

Limfni čvor

Limfni čvor

Bolesnik, rođen 1958.


Dijagnoza:

Adenocarcinoma d. choledochi (pT2a NxMx) (2016.)

Cholecystectomia et resectio d. choledochi et d. hepatici communis, anastomosis HJ sec. Roux (3.8.2016.)

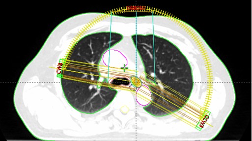
Npl recidivans locoregionalis

Meta lymphonodi mesenterialis, paraaortalis dex. et reg. art. Iliacalis l.sin. et pulmonum l.sin.

Chemotherapia cum cisplatin et gemcitabin (24.5. - 10.12.2019.)

Laparotomia explorativa et biopsio tumoris (29.1.2020.)

PHD: Adenocarcinoma

SABR meta mediastini et abdominis (5.5.-25.5.2020.)

SABR meta hepatis (12.7.2021.)

 

lc 40

 

lc 40 2

 

lc 40 3

 

lc 40 4

 

Rezultat – 27 mjeseci nakon RK

Potpuni nestanak tretirane lezije