Bolesnica, rođena 1954.
Dijagnoza:
Npl ventriculi
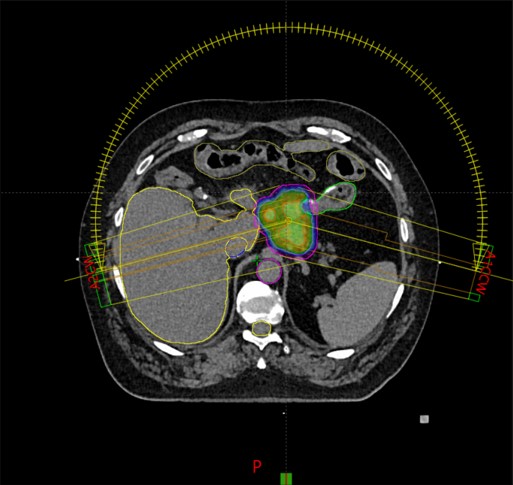
Meta lymphonodi hepatogastrici
Gastrectomia subtotalis, GEA et EEA sec. Brown (3.10.2016.)
PHD: adenocarcinoma ventriculi - intestinalni tip po Laurenu, 2/7 lč; u manje od 10% stvaranje mucina
Chemotherapia cum cisplatina/5-FU (12./2016.—8.2.2017.)
Reinductio chemotherapia cum cisplatina/5-FU (x4) (24.5. - 25.08.2019.)
SBRT meta lymphonodi hepatogastrici (7/2020)
Rezultat – 52 mjeseca nakon RK
Potpuna metabolička regresija tretiranog patološkog limfnog čvora