Bolesnica, rođena 1945.
Dijagnoza:
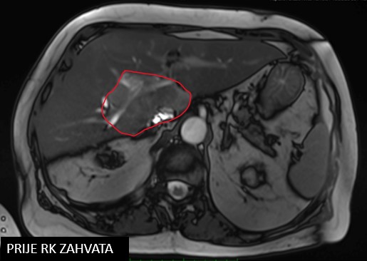
Npl. Hepatis/ Npl. Cholangiocellulare vrs.
SBRT npl hepatis (07/2018)
SABR meta hepatis (12/2019)
Morbus coronarius
STEMI parietis inferioris et PCI RCA (2015.)
PCI-LAD (5/2015)
Arthrosis art. coxae lateris dextri
TEP coxae lateris dextri
Haematoma subdurale acutum regionis parafalcinis sin. (7/2020)
Diverticulosis intestini coli
Tonsillectomia

Rezultat – 15 mjeseci nakon RK
Regresija tretirane lezije za 47%