Bolesnica, rođena 1964.
Dijagnoza:
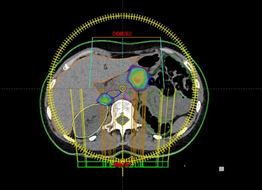
Npl renis lateris sinistri
Meta pancreatis
Meta glandulae suprarenalis lateris dextri
Nephrectomia lateris sinistri (1998.)
PHD: Ca clarocellulare renis
EUS/FNA (11.10.2018.) (cito: meta ca bubrega svijetlih stanica
SBRT meta glandulae suprarenalis lateris dextri et pancreatis (08.11.-14.11.2018.)
Rezultat – 52 mjeseca nakon RK
smanjenje tretiranih lezija za 30%