Gušterača

Gušterača

Gušterača

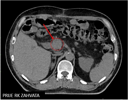
Bolesnik, rođen 1952.


Dijagnoza:

Npl capitis pancreatis cum infiltratio v. mesentericae inop.

Cito: duktalni adenoca pankreasa

Formatio gastroentero anastomosis et entero-enteroanastomosis (7/2018)

Chemotherapia cum gemcitabin (20 cy)

SABR npl. pancreatis (10/2018)

 

gušterača 59

 

gušterača 59 2

 

gušterača 59 3agušterača 59 3b

 

gušterača 59 4

 

 

Rezultat – 45 mjeseci nakon RK

Potpuni nestanak tretirane lezije